Billie Jean's "BJ's" training is going very well. She's a fun mare to ride. She goes out by herself no problem.
I haven't measured her yet but I think she stands at about 14.2. She's not spooky at all. I had a buck jump out the bushes right next to us today. She only stopped to look back to see what was going on, which to me is completely fine, and then she moved on. BJ's is super comfortable in her gaites. I ride her bit less in a simple side pull. She's not fancy broke but understands leg pressure.
Her next step in training is for me to take her to public state parks to make sure she's safe but I don't think I'm going to run into any issues.
BJ currently has front shoes since she got a little thin soled by the ground being so dry all the time and on that note, she stands for the farrier no problem.
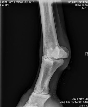
The only issue I'm still working on with her is that she still doesn't like to have a saddle put on her back. Once it's on she's good to go. I've had this mare checked for everything! She got scoped for ulcers, checked for kissing spine, her knees x-rayed since she's a little over the knee and her coffin/ fetlock x-rayed. She's totally fine! I assume that this poor girl was probably ridden in a really poor fitting saddle for years which brought her great uncomfort. I believe over time she will eventually get over this but I can't stress enough that patience is required while saddling her!
At the age of 19 she's not looking for a new career as an event horse but light trail riding is her thing!
BJ still has a lot of go left in her! However, I don't think she should carry more than 160 lbs completely, meaning rider and tack won't exceed this weight.
Billie Jean is up to date on all vaccines and coggins and scheduled for September 7,2022 to get her boosters and if needed another dental float.
If you like, you can start applying for possibly adopting her already by sending me an email to paintponyhaven@gmail.com.
Please tell me a little something about you, why you would like to adopt her and what you are planning on doing with her and ask all the questions you want answered! Please understand that I am absolutely thorough about where she will go.
Meaning you will need references and I will come check out your place as well. You will also have to come here a few times and work with her so I can see how you engage with her. Meaning you have to do it all by yourself, from getting her out of the pasture to saddling and riding. Unlike most other places I will give you the opportunity to go on trail rides with me and let you use my arena. Unless I'm 100% convinced it's a good fit and that she will move to a home she will actually get to enjoy retirement as well, she won't leave!
The horses we adopt out are never to be sold or given away! In case they lose their home we have to be contacted and they will have to be returned to Paint Pony Haven! On our side we guarantee that you can always contact us if you have any problems with a horse and we will make time to help you!
BJ is also microchipped and registered to Paint Pony Haven.
Pictures don't do this Arabian mare justice! She's absolutely gorgeous!
BJ also had hr knees, fetlock and coffin joint x-rayed on July 7, 2022. Her vet bill was $185.
Any small donation towards her bill would be greatly appreciated. Thank you!


Update 03/04/2022 Billie Jean kept showing some severe sensitivity every time we touched her on her withers and along her spine so back in January we had x-rays taken to check for kissing spine. Everything looked great so we treated her for ulcers with Gastrogard paste and Sucralfate for 7 days.
Yesterday we had a Gastroscopy done to check her stomach to see if she really has ulcers. Her stomach looks absolutely great. There was only one tiny little ulcer which should not cause any problems.
Now that we know that BJ is physically ok we can really start working with her. We had to make sure that we are not going to inflict pain by starting her under the saddle. The behavior she is showing is learned but that is something we can work on. BJ also got her vaccines yesterday.
Otherwise Billie Jean is a super sweet and easy going mare.
Her vet bill from January 10 was $445
Her vet bill from yesterday was: $423
(The complete vet bill from yesterday for the rescues was:$2430)
Please consider a small donation towards these costs! Thank you!





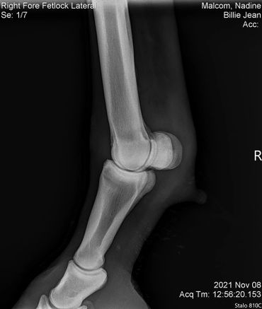
BJ had her big vet exam on November 9,2021.
We did a full wellness and lameness exam and everything looked pretty good. She showed some soreness in her right front fetlock so we did some x-rays but nothing really to see that would raise concern. We also did x-rays on her stomach and it showed she has some sand which we have been treating with Sand Clear.We didn't do x-rays on her knees. Dr. Johnson said she's probably got some fluid in there because it looks like she used to hit her knees on something a lot so we are rubbing some DMSO on it to relieve some of the swelling.Billie Jean also got a dental float. After examining her teeth closer it turns out she is more like 18-20 years old.
BJ has settled in nicely and just gets to enjoy some time off now until we start working with her.
She's such a sweet little mare but still has quite some go left in her running around in the pasture.
Her vet bill was $396.

















