We took Tiny to our new vet's clinic on 07/25/2022 to get his hock injected with Pro-Strike.
Radiographs that were taken on July 7, 2022 showed severe arthritis.
He is feeling a lot better now. We also started him on Previcox.
His vet bill from 07/07/2022 was $185
Injection on 07/25/2022 was $635
Total $820
Any small donation towards this cost would be greatly appreciated! Thank you!

Tiny saw the vet on 04/29/2022. He started to get really stiff on his left hock again so it was time to inject again. Now he is super comfortable and moves around beautifully.
Otherwise Tiny is a very happy horse that loves to be scratched and loved on. He is such a big Teddy Bear! Tiny's vet bill was $ 400.50. Please consider a small donation to help with this cost.
Thank you and God bless!

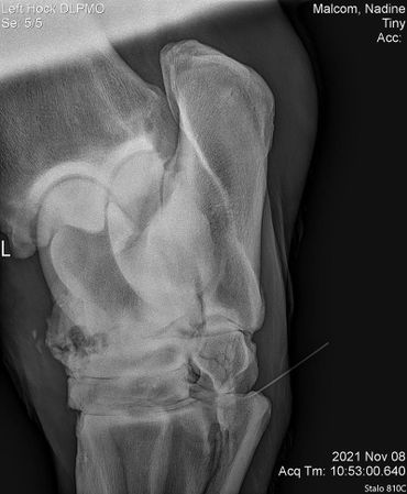
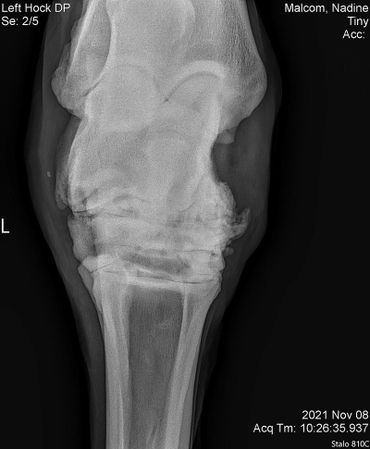
Tiny showed some stiffness in his left hind so we did x-rays on his hock on 11/09/2021. He's got some serious arthritis going on in there so he got injected to make him feel more comfortable especially with winter coming.
Now, three weeks down the road we enjoy seeing him move so much better and actually anticipating in the plays the geldings have with each other.
His vet bill was $585. Any contribution towards his bill would be greatly appreciated!





We are sorry for the delayed update on Tiny.
Tiny spent a total of 11 days in the clinic.
They put his leg in a splint, trying to straighten it out as much as possible and he got six treatments with Oxytetracycline. Unfortunately, we didn't see a real improvement so we decided to stop the treatment and picked him back up from the clinic on Memorial Day.
It was definitely worth a try but sadly Tiny's skin did not react well to the splint. Ever since he came home we have been and still are treating skin necrosis on his leg.
Otherwise Tiny is doing well. We are hoping that maybe his tendons will stretch more just by him roaming around on the pastures. We can definitely see a difference from the day he arrived at the farm until now. Long trail rides in the future are probably not going to be an option though.
Tiny's cost staying at the clinic and after care so far: $2560
So far Tiny´s cost all together: $ 4700
Please consider donating towards his cost! It would be greatly appreciated!
Thank You!




Yesterday we took Tiny to the clinic. Hopefully they will be able to stretch down his tendons in his right hind leg so he can walk normally and explore the world as a trail horse in the future.
Tiny has to stay there for about a week.
To make sure he doesn't feel neglected, we went to see him today 🙂
Keep your fingers crossed for him!
Estimated cost at this point is around $1000.
Please consider donating towards this cost.
Thank you!!!

Tiny is doing wonderful. He found his place in the herd and gets along with everybody.
He is such a sweet boy and loves attention.
Tiny had the pleasure of three full body massages which he very much enjoyed 🙂
The boy looks great and is at a really good weight.
Now that he has settled in, we think it's time to take him to the clinic in hopes they can stretch his flexor and superficial digital flexor tendon.
In the meanwhile Tiny got all his vaccines done, his dentals floated and his sheath cleaned.
So far Tiny´s total cost has been: $ 2134
Please consider a small donation.
Thank you!




Our big Teddy Bear Tiny was seen by the vet on Monday 03/01/2021.
We are so relieved that his deformed right hind is nothing serious in a way that he can not live a good life.
Our vet went above and beyond with his lameness exam. Obviously we did x-rays and it showed that nothing is, or was broken and none of his joints are fused together. He has some arthritis, but that was to be expected.
The abnormal position he keeps his foot in is caused by the fact that his deep digital flexor tendon and his superficial digital flexor tendon are just so tight, that they won't allow the foot/joints back into a natural position. What caused this, we will never have an answer.
This does not seem to cause him a lot of pain, since he seems pretty sound moving around.
So our plan for now is, to get him through quarantine and then take him up to our vet's clinic to attempt this issue.
The plan is, to put him into a splint, after his joints are pushed back into the right position, so slowly the tendons will stretch far enough so the foot will naturally be able to fall back into its natural position.
There is no guarantee this will work and he has to stay at our vet's clinic for that, but it is worth a try!
Beside this, he got a long needed hoof trim done and we started his first round of vaccines.
The vet confirmed his age, he is probably between 12-15. With his next appointment he will get a dental float.
Also, we had an SAA done with the result 0 (Blood work), so more than likely he did not come down with an infection in the kill pen.
Tiny is just wonderful!!! He has a puppy dog personality and we are so in love with him. He loves to cuddle 🙂
His vet bill was $583.
So far Tiny´s total cost has been: $ 1858
Please consider a small donation.
Thank you!













