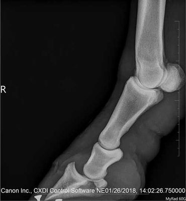
We had the vet back out again on August 3, 2020 because Zoe didn´t do well long after her injections. She got really lame again and she had the hardest time walking.
The vet did one more injection into the pastern joint, but he went in from the back of the leg and this time all the fluid went into the joint.
In addition we had a intrasynovial-centesis to the flexor tendon done.
The cost for the treatment was $615 which also included the lameness exam, some more radiographs, sedation and the farm call.
We are happy to say that now 11 days after, Zoe is walking really well again!!!
Please consider donating to the cost of the vet bill.
Thank you!


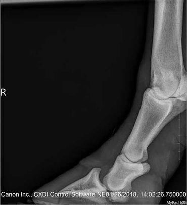
Zoe started going a bit lame in her leg so we had the vet out on June 24, 2020.
We decided to get her Coffin- and Pastern Joint injected again.
Now she is walking better but not 100%. We will start her on NRF2 and hope that it will give her even more relief.
Otherwise she is doing well and continues to be a happy, nosy girl.
The vet bill for the injections done with a radiographic guidance and farm call was $ 375.
Please consider donating to us to help us pay for the cost.
Thank you!

Sweet Zoe is doing really well. She is a wild but sweet young horse that loves life.
We are thinking about starting her up this spring to see if she could actually carry weight and not go lame. Before that, we would probably have to inject her Coffin and Pastern joint again.
We are still amazed how well she recovered and are so thankful for it.
Zoe got her EWT/West Nile/Influenza/Rhino Vaccine done on 03/11/2020.
On 03/24/2020 she got Vaccines for Potomac Horse fever+rabies and Strangles.
Her total vet bill was $150.
(The total vet bill for all the rescues on those 2 days was $1496, which also included some medication, radiographs, Coggings-Tests and the farm call)
Please consider donating to us with the cost!
Thank you!

Zoe had a Reproductive Ultrasound on 12/30/2019.
We were worried that she might have a problem with her ovaries because she was still in season.
Luckily no bad news on this. It is probably being caused by the fact that the weather keeps changing from cold to warm and back to cold, and the extra artificial light in the barn in the evening.
Her vet bill was $ 90 which is not much, but between all the rescues it adds up.
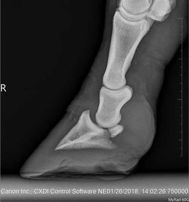
Zoe´s foot is doing well but she has a hard time walking on uneven frozen ground.
Back in August we to had her Coffin and Pastern joint injected because she was really lame.
Her bill for the injections was $ 640.
Other than that, Zoe is a pretty happy girl and she enjoys going on walks.
Please consider donating to us to help us pay for all the costs.
Thank you!


Zoe has made great progress. She now has been without a wrap on her leg for about seven weeks and she is doing great!!!
We haven't had to put on a horse shoe for support, yet. We hope it stays that way once the ground hardens up. So far we have had rain every few days so the ground is still soft and not hard as a rock.
Other than that she is enjoying springtime and loves being out in big pastures during the day just roaming around. We get the feeling that she thinks she is a wild horse 🙂
Seeing her walk like this truly is a blessing!
Zoe enjoys her time out in the pasture and is a very nosy little girl 🙂














